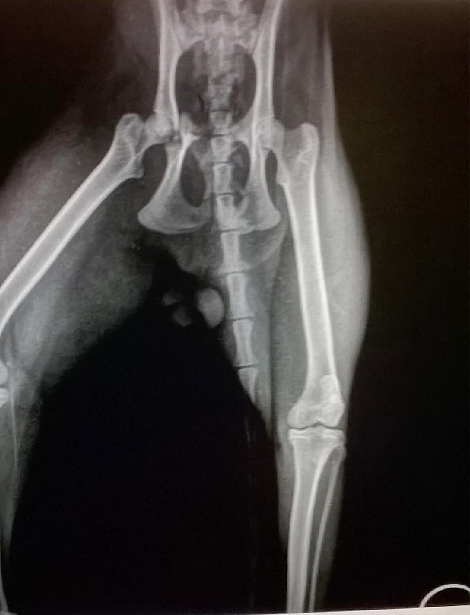
Galerie kočka po osteosyntéze kočka, fraktura pánve v kyčelní jamce králík fraktura holenní kosti králík po osteosyntéze pes, fraktura po autoúrazu – po osteosyntéze pes, tříštivá fraktura stehenní kosti způsobená autoúrazem